이정치과기공소

모바일 메뉴

상단 섹션

30년 업력을 기반으로 끊임없는 혁신을 실행중입니다

철저한 고객맞춤 운영방침
제품정보 Aesthetic 인레이 쎄라 Z 인레이

상단 섹션

쎄라 Z 인레이

최상의 보철물 제작을 목표로 합니다

세라 Z 인레이
E-max 인레이
세라 H 인레이
강도와 심미성을 가진 인레이, Soft Zirconia, CAD CAM 밀링 제작, 정교하고 강도높은 인레이

쎄라 Z 인레이

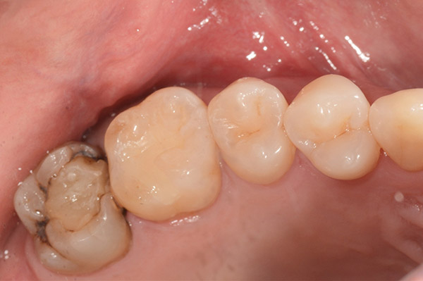
Before

After

Before

After