이정치과기공소

모바일 메뉴

상단 섹션

30년 업력을 기반으로 끊임없는 혁신을 실행중입니다

철저한 고객맞춤 운영방침
제품정보 크리스탈 크라운

상단 섹션

크리스탈 크라운

최상의 보철물 제작을 목표로 합니다

Zirconia, 캐드 캠 밀링 제작

크리스탈 크라운

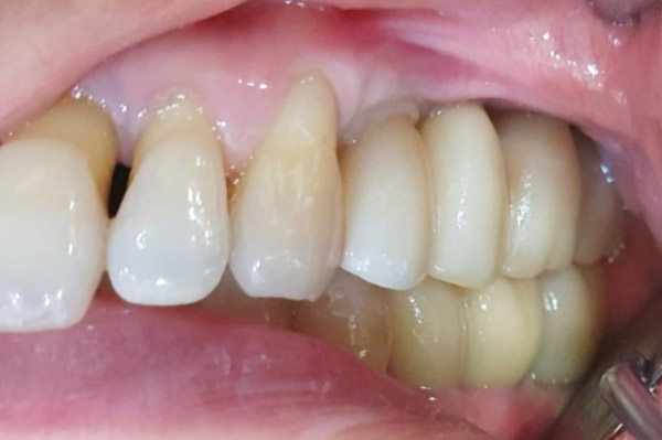
Before

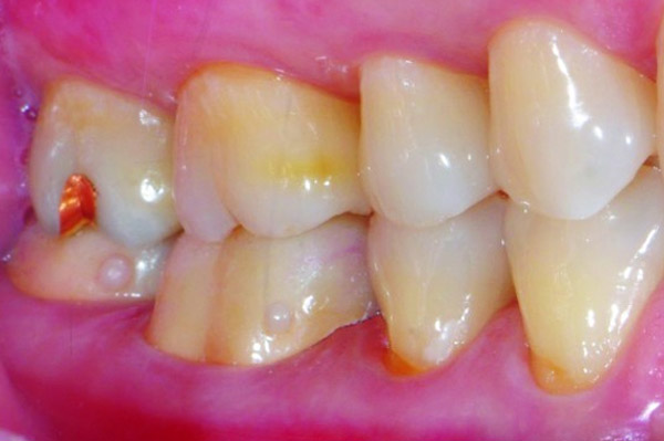
After

세팅사진

세팅사진