이정치과기공소

모바일 메뉴

상단 섹션

30년 업력을 기반으로 끊임없는 혁신을 실행중입니다

철저한 고객맞춤 운영방침
전문분야 맥 임플란트 시스템

상단 섹션

맥 임플란트 시스템

최상의 보철물 제작을 목표로 합니다

디지털 스캔바디를 이용한 간편한 보철제작 시스템, 모든 임플란트 제작 가능

임플란트 상악 보철(링크 타입)

임플란트 하악 보철(링크 타입)

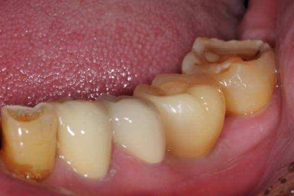
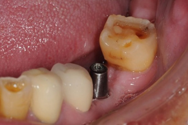
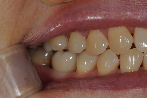
임플란트 하악 보철(Custom Abutment 타입)

임플란트 하악 보철(Custom Abutment 타입)