이정치과기공소

모바일 메뉴

상단 섹션

Based on 30 years of experience Ejung Dental Laboratory is carrying out non-boiling innovations.

Thorough Customer-Centric Operating Policy
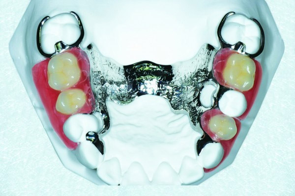
Product Dentures Partial Frame Denture

상단 섹션

Partial Frame Denture

We aim to make the best dental prosthetics.

Partial Frame Denture
Full Denture
CO - CR, 3D metal printer output after CAD work

Partial Frame Denture