이정치과기공소

모바일 메뉴

상단 섹션

Based on 30 years of experience Ejung Dental Laboratory is carrying out non-boiling innovations.

Thorough Customer-Centric Operating Policy
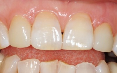
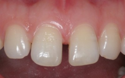
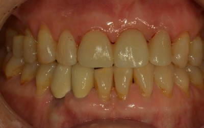
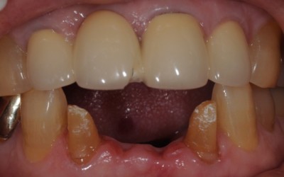
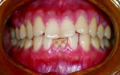
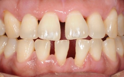
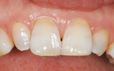
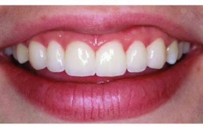
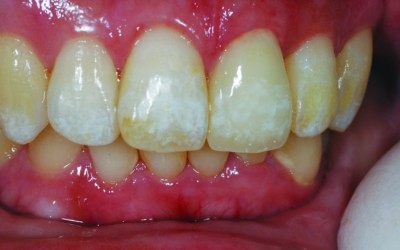
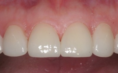
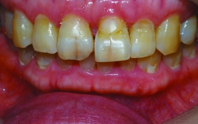
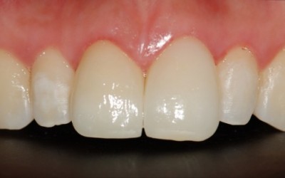
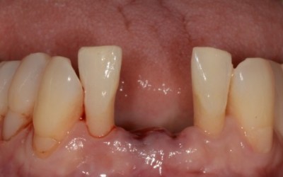
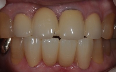
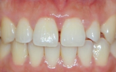
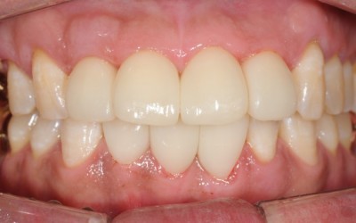
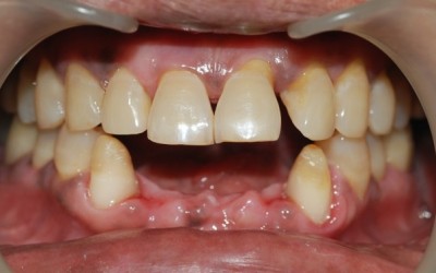
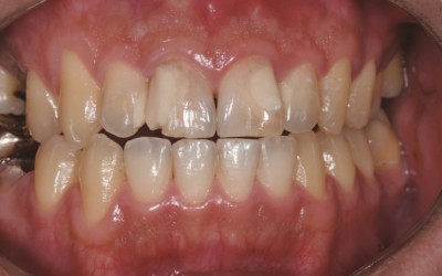
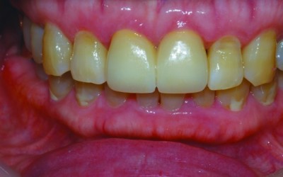
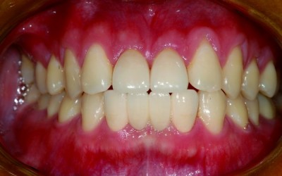
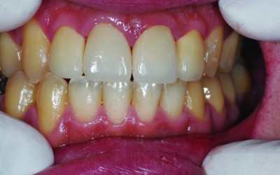
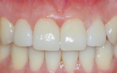
Before and After Before and After

상단 섹션

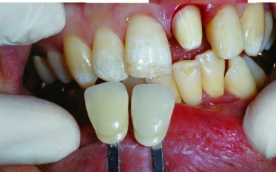
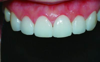
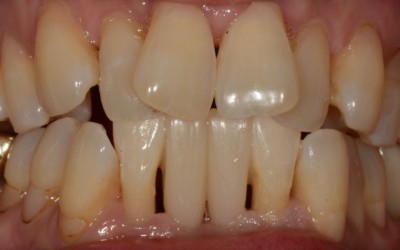
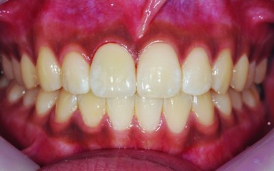
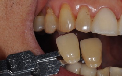
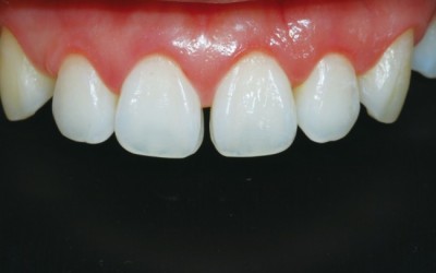
Before and After

We aim to make the best dental prosthetics.

검색