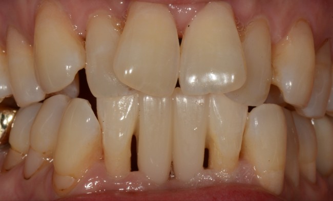
Maryland Bridge > Before and After

모바일 메뉴

상단 섹션

Based on 30 years of experience Ejung Dental Laboratory is carrying out non-boiling innovations.

Thorough Customer-Centric Operating Policy
Before and After Before and After

상단 섹션

Before and After

We aim to make the best dental prosthetics.

Maryland Bridge

페이지 정보

본문

Maryland Bridge